Iranian Journal of Medical Sciences

Document Type : Case Report(s)

Authors

1 Supporting the Family and the Youth of Population Research Core, Department of Obstetrics and Gynecology, School of Medicine, Mashhad University of Medical Science, Mashhad, Iran

2 Department of Pediatric Surgery, School of Medicine, Mashhad University of Medical Sciences, Mashhad, Iran

Abstract

Oropharyngeal teratoma (OPT) is a rare congenital tumor that may present either in isolation or in conjunction with craniofacial anomalies, often posing a major risk to infant survival. Recent advances in prenatal imaging, particularly high-resolution ultrasonography, have significantly improved the early detection and characterization of such tumors, enhancing clinical decision-making. Although prenatal sonography and MRI typically enable early diagnosis, the present study reported a case of OPT, diagnosed postpartum in an Iranian female infant weighing 4300 g. Despite the absence of prenatal diagnosis, the mass was successfully managed through prompt surgical intervention. The outcome was favorable, with no complications or recurrence. This case highlighted the critical role of early diagnosis and multidisciplinary perinatal planning in improving the prognosis of rare congenital tumors such as OPT.

Highlights

Nona Sabeti (Google Scholar)

Ezat Hajmollarezaei (Google Scholar)

Keywords

What’s Known

Oropharyngeal teratoma (OPT) is an extremely rare congenital tumor, frequently associated with craniofacial malformations. Advancements in prenatal ultrasonography now permit early antenatal diagnosis of OPT, significantly enhancing prognosis.

What’s New

This case report highlighted successful postnatal surgical management of OPT in an Iranian neonate, reinforcing the importance of prompt intervention. It highlighted the critical role of prenatal screening and the risks of delayed diagnosis, particularly in resource-limited settings.

Introduction

Congenital teratomas are rare neoplasms composed of tissues derived from all three germ layers. Among these, oropharyngeal teratomas (OPT), also called epignathus, are extremely rare, representing only 2-3% of all congenital teratomas. Their estimated prevalence ranges from 1 in 35,000 to 200,000 live births. 1 While they typically occur in the sphenoid bone region, they may also originate from the palate, tongue, pharynx, or jaw. 2

OPT most commonly presents as an oral mass that frequently causes life-threatening airway obstruction at birth. It is more frequent in females, with a 5:1 female-to-male ratio. 1 OPT may occur either in isolation or in association with craniofacial anomalies, such as cleft palate, bifid tongue, or Pierre Robin sequence. 3 The presence of such anomalies can significantly complicate perinatal management.

Optic pathway tumors were traditionally diagnosed postnatally. However, advances in prenatal imaging modalities, such as high-resolution ultrasound, three-dimensional (3D) ultrasound, color Doppler, and magnetic resonance imaging (MRI), have enabled earlier diagnosis. 4 Early diagnosis is critical for perinatal care planning, as severe cases frequently require the ex-utero intrapartum treatment (EXIT) procedure to secure the neonate’s airway before clamping the umbilical cord. 5 In regions with limited access to routine prenatal screening, OPT might remain undiagnosed until delivery, significantly increasing the risk of neonatal morbidity and mortality.

This report described a rare case of a congenital palatal teratoma diagnosed postnatally in a full-term Iranian neonate. The study detailed the clinical presentation, surgical management, and follow-up outcomes, which highlighted both the challenges posed by limited prenatal care and emphasized the critical role of timely diagnosis and intervention.

Case Presentation

A 32-year-old woman (gravida 3, para 2) at 40 weeks of gestation was presented to Omolbanin Hospital (Mashhad, Iran) for delivery. Her pregnancy was complicated by diet-controlled gestational diabetes mellitus (GDM). The patient had no history of chronic illnesses or medication use, aside from iron and folic acid supplementation. Notably, she had previously delivered a macrosomic infant via vaginal delivery.

The patient received inadequate prenatal care during her pregnancy, with only two ultrasound examinations performed during this period. The first scan at 13 weeks failed to report the nuchal translucency (NT) measurements, while the second scan performed 1 week before admission identified a cephalic-presenting fetus with an estimated fetal weight of 4,100 g and normal amniotic fluid index (11 cm). No evidence of structural anomalies or signs of polyhydramnios was reported. Standard mid-trimester anomaly screening at 18 weeks of gestation was omitted, and no third-trimester growth assessment was performed. Despite these protocol deviations, the final ultrasound demonstrated appropriate biometry for 40 weeks of gestation and documented a normally functioning posterior placenta with no abnormalities.

Labor was induced using misoprostol (Abidi Pharmaceutical Co., Iran). Although full cervical dilation was achieved, arrest of labor occurred secondary to failure of descent, promoting an emergency cesarean section under spinal anesthesia due to suspected fetal macrosomia. The procedure was uneventful, with prophylactic administration of 400 μg intraoperative misoprostol and 20 units of oxytocin (Rotexmedica, Germany) for postpartum hemorrhage prevention.

A full-term female neonate weighing 4,300 g was delivered with Apgar scores of 8 and 9 at 1 and 5 min, respectively. At birth, a large oropharyngeal mass protruding from the oral cavity was noted (figure 1). The neonate developed mild respiratory distress that was managed without intubation, requiring only supplemental oxygen therapy. Due to significant feeding difficulties, the neonate was transferred to the neonatal intensive care unit (NICU) for further management.

Figure 1. The newborn presented with a mass protruding from the oral cavity, featuring multiple round and nodular extensions.

Subsequently, the newborn was referred to Akbar Hospital (Mashhad, Iran), a tertiary pediatric referral center, where complete surgical excision of the oral mass was performed under general anesthesia. The defect was repaired using 1-0 Vicryl (polyglactin 910, Teb Sica Co., Iran) sutures. Intraoperative inspection revealed a pedunculated mass, measuring 2×2×3 cm, arising from the maxillary alveolar ridge. The lesion exhibited a pink-gray coloration, multilobulated architecture, and a smooth-surfaced texture, with a mixed solid-cystic composition and hard, non-tender elements on palpation.

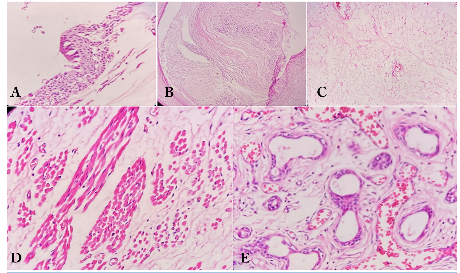
Histopathological examination confirmed the diagnosis of a mature teratoma, characterized by heterogeneous tissue components, including respiratory ciliated epithelium, epidermoid cysts, skeletal muscle bundles, glandular epithelium, and mesenchymal stromal elements (figure 2).

Figure 2. Histopathological features of the mature teratoma included: (A) Respiratory-type ciliated columnar epithelium. (B) An epidermoid cyst, lined by stratified squamous epithelium, contains keratinous debris. (C) Mesenchymal stroma with scattered immature spindle cells. (D) Well-defined bundles of skeletal muscle fibers. (E) Glandular structures, which are lined by cuboidal epithelium.

The patient tolerated the procedure well with an uncomplicated recovery. Oral feeding was successfully initiated within 5 hours postoperatively, and the patient was discharged in good condition after a 48-hour observation period. During scheduled biweekly follow-up visits, the patient demonstrated complete wound healing with no clinical or radiological evidence of tumor recurrence.

This case report received ethical approval from the Ethics Committee of Mashhad University of Medical Sciences (code: IR.MUMS.REC.1402.287). Written informed consent was obtained from the patient’s parents prior to publication, including consent for use of clinical data and any accompanying images.

Discussion

This report described a case of postnatally diagnosed oropharyngeal teratoma that was successfully managed with prompt surgical excision, resulting in full recovery. The patient experienced no severe respiratory compromise despite the tumor’s location, and early surgical intervention was performed with no complications. The absence of recurrence during follow-up further confirmed the effectiveness of the intervention.

Compared to previously published cases, the present report highlighted several noteworthy distinctions. While most reported cases of oropharyngeal teratomas are diagnosed antenatally using advanced imaging modalities, such as fetal MRI and three-dimensional ultrasound, 5 our patient’s tumor was undetected until delivery due to limited prenatal care and absence of routine anomaly scans. This case illustrated the diagnostic challenges in resource-limited settings and emphasized the importance of meticulous prenatal evaluation. 2

Several case reports described airway obstruction requiring emergent intubation or EXIT procedures during delivery. For instance, Nguyen and colleagues and Gonzalez-Cantu and colleagues reported cases that required complicated airway management due to severe obstruction 1 , 6 In contrast, our patient maintained spontaneous respiration without requiring intubation or an EXIT procedure. This favorable outcome likely reflects the tumor’s relatively small size and pedunculated morphology, which resulted in minimal airway compromise.

Histopathological analysis confirmed a mature teratoma containing tissues derived from all three germ layers. Unlike immature or malignant forms that require adjuvant therapy, complete surgical excision alone achieved definitive treatment in this case. The patient’s early initiation of oral feeding and short hospitalization further demonstrated the favorable clinical outcome.

One area of clinical interest in OPTs is the potential elevation of maternal serum alpha-fetoprotein (AFP). While elevated AFP may serve as a non-specific marker for teratomas and neural tube defects, 6 , 7 levels frequently remain within normal range, reducing its diagnostic reliability. 8 In our case, maternal AFP testing was omitted due to inadequate prenatal screening, emphasizing a missed diagnostic opportunity.

This case made two key contributions to the literature: It demonstrated that favorable outcomes could be achieved through postnatal multidisciplinary management even without prenatal diagnosis, and it highlighted healthcare disparities in prenatal screening access, advocating for improved maternal-fetal services in underserved populations.

Conclusion

This case highlighted three critical aspects of palatal teratoma management, including the importance of early diagnosis, the benefits of prompt surgical intervention, and the potential for an excellent prognosis, even without antenatal detection. Our findings supported both enhanced prenatal screening protocols and preparedness for urgent postnatal intervention in such clinical presentations.

Acknowledgment

We would like to acknowledge the medical team for their expert care and the patient’s family for their cooperation. This study was conducted without external funding from public, commercial, or not-for-profit agencies.

Authors’ Contribution

NS: as the resident, was responsible for the patient’s care during hospitalization, the cesarean section procedure, and post-operative follow-up; EH: as the staff gynecologist, was responsible for the patient’s care during hospitalization, the cesarean section procedure, and post-operative follow-up; AMP: as the pediatric surgeon, performed the surgery on the newborn at the appropriate time; EP: as the pediatric specialist, conducted the initial assessment of the patient in the operating room and, after resuscitation and initial actions, referred the newborn to the more equipped Akbar Hospital for surgery. All authors contributed to the conception, design, and writing of the manuscript. All authors have read and approved the final manuscript and agree to be accountable for all aspects of the work in ensuring that questions related to the accuracy or integrity of any part of the work are appropriately investigated and resolved.

Conflict of Interest

None declared.

References

  1. Nguyen PTA, Lavisha P, Lynn KH, Jitendrakumar VS. Case report: Congenital palatal teratoma (epignathus) leading to neonatal airway obstruction. Int J Surg Case Rep. 2023; 109:108518. Publisher Full Text | DOI | PubMed [ PMC Free Article ]
  2. Zhu P, Li XY. Management of oropharyngeal teratoma: Two case reports and a literature review. J Int Med Res. 2021; 49:300060521996873. Publisher Full Text | DOI | PubMed [ PMC Free Article ]
  3. Narayan R, Ahmad MS, Kumar A. Fetal Oropharyngeal Teratoma: Prenatal Diagnosis and Imaging Characteristics. Cureus. 2020; 12:e11329. Publisher Full Text | DOI | PubMed [ PMC Free Article ]
  4. Milani HJ, Araujo Junior E, Cavalheiro S, Oliveira PS, Hisaba WJ, Barreto EQ, et al. Fetal brain tumors: Prenatal diagnosis by ultrasound and magnetic resonance imaging. World J Radiol. 2015; 7:17-21. Publisher Full Text | DOI | PubMed [ PMC Free Article ]
  5. Garcia-Diaz L, Chimenea A, de Agustin JC, Pavon A, Antinolo G. Ex-Utero Intrapartum Treatment (EXIT): indications and outcome in fetal cervical and oropharyngeal masses. BMC Pregnancy Childbirth. 2020; 20:598. Publisher Full Text | DOI | PubMed [ PMC Free Article ]
  6. Gonzalez-Cantu CM, Moreno-Pena PJ, Salazar-Lara MG, Garcia PPF, Montes-Tapia FF, Cervantes-Kardasch VH, et al. Surgical management of palatal teratoma (epignathus) with the use of virtual reconstruction and 3D models: a case report and literature review. Arch Plast Surg. 2021; 48:518-23. Publisher Full Text | DOI | PubMed [ PMC Free Article ]
  7. Glowska-Ciemny J, Szymanski M, Kuszerska A, Rzepka R, von Kaisenberg CS, Kocylowski R. Role of Alpha-Fetoprotein (AFP) in Diagnosing Childhood Cancers and Genetic-Related Chronic Diseases. Cancers (Basel). 2023; 15Publisher Full Text | DOI | PubMed [ PMC Free Article ]
  8. Glowska-Ciemny J, Szmyt K, Kuszerska A, Rzepka R, von Kaisenberg C, Kocylowski R. Fetal and Placental Causes of Elevated Serum Alpha-Fetoprotein Levels in Pregnant Women. J Clin Med. 2024; 13Publisher Full Text | DOI | PubMed [ PMC Free Article ]