Document Type : Original Article(s)
Authors
- Homeira Vafaei 1
- Shohreh Roozmeh 2
- Alireza Shamshirsaz 3
- Nasrin Asadi 1
- Naeimehossadat Asmarian 4
- Maryam Kasraeian 1
- Shohra Qaderi 5
- Khadije Bazrafshan 2
- Mozhde Ghiasi 6
- Azam Faraji 1
1 Maternal-fetal Medicine Research Center, Department of Obstetrics and Gynecology, School of Medicine, Shiraz University of Medical Sciences, Shiraz, Iran
2 Maternal-fetal Medicine Research Center, Shiraz University of Medical Sciences, Shiraz, Iran
3 Department of Obstetrics and Gynecology, Baylor College of Medicine, Maternal Fetal Care Center, Boston Children’s Hospital, Harvard Medical School, Boston, MA, United States
4 Anesthesiology and Critical Care Research Center, Shiraz University of Medical Sciences, Shiraz, Iran
5 Maternal Fetal Care Center, Division of Fetal Medicine and Surgery, Boston Children’s Hospital, Harvard Medical School, Boston, MA, USA
6 Dr Vafaei Perinatology Center, Shiraz University of Medical Sciences, Shiraz, Iran
Abstract
Background: Microwave ablation (MWA) is a newly introduced technique for selective fetal reduction in complicated monochorionic (MC) pregnancies. This study aimed to describe maternal and neonatal outcomes after implementing MWA for selective fetal reduction in complicated MC pregnancies and analyze the procedure’s success rate.
Methods: This is a case series of 21 complicated MC pregnancies that underwent MWA in the Fetal-Maternal Center affiliated with Shiraz University of Medical Sciences (Shiraz, Iran) to occlude fetal blood circulation from May 2021 to May 2022. The participants were followed until delivery. Gestational age at the time of the procedure, duration of the procedure, survival rate, procedure-to-delivery time, gestational age at delivery, as well as maternal and neonatal outcomes were evaluated.
Results: MWA was successfully performed in all 21 cases. The median (Q1-Q3) gestational age at the time of the procedure was 18 weeks. The fetus’s blood circulation was completely stopped in all cases. The median (Q1-Q3) total ablation time was 4 (3-6) min, and the total ablation voltage was 100 (100-200) W. Fetal loss occurred in 19% (4/21) of cases after MWA. The duration of the surgery showed a significant negative correlation with the surgical outcome (P=0.012). The overall procedure-to-delivery time was 16 (14.5-19.5) weeks, with a survival rate of 81%. The median gestational age at delivery was 34 (30.5-37.5) weeks. Among the babies, 70.6% required admission to the neonatal intensive care unit; however, all survived the neonatal period. No maternal complications
were observed.
Conclusion: MWA represents a potentially effective alternative modality for selective fetal reduction in complicated MC twin pregnancies. As a newly introduced technique, it is still in its early stages of implementation, and there is a need for reporting and discussing the specific details of its application.
Highlights
Homeira Vafaei (Google Scholar)
Shohreh Roozmeh (Google Scholar)
Keywords
What’s Known
Microwave ablation (MWA) is a newly introduced technique for selective fetal reduction in complicated monochorionic (MC) pregnancies.
What’s New
To describe the detailed implementation of MWA for selective fetal reduction in complicated MC pregnancies— the first such report in Iran.
Introduction
Nowadays, due to increased maternal age at conception and the use of assisted reproduction techniques (ARTs), the incidence of multiple pregnancies has increased. 1 In monochorionic (MC) twins, unlike dichorionic (DC) twins, vascular anastomosis in the shared placenta leads to specific complications, such as twin-to-twin transfusion syndrome (TTTS), selective fetal growth restriction (sFGR), twin reverse arterial perfusion sequence (TRAPS), and twin anemia-polycythemia sequence (TAPS). 2 Moreover, the incidence of fetal congenital abnormalities is higher in MC pregnancies.
In some cases, selective termination of one fetus might be advised as a fetal therapy to improve the healthy co-twin’s survival chances and decrease subsequent pregnancy complications. For this purpose, the ultrasound-guided injection of potassium chloride, which is frequently used in dichorionic pregnancies, is not suitable for MC twins due to vascular anastomoses between the fetuses and the potential risk to the healthy fetus. Currently, several methods, including laser coagulation, umbilical cord fetoscopic ligation, radiofrequency ablation (RFA), and bipolar cord coagulation (BCC), are used effectively for the selective termination of MC pregnancies. 3 However, these methods have limitations in certain conditions, such as oligohydramnios, small fetus size, and early gestational age. Among them, RFA offers a potential advantage due to its small active point diameter in such situations. 1
Microwave ablation (MWA) is a newly introduced method for cord occlusion and selective fetal termination in MC pregnancies. 4 Prefumo initially reported its use for selective fetal reduction in 2013. 5 MWA offers advantages over radiofrequency ablation, generating higher temperatures more rapidly for thermal ablation. In addition, MWA avoids the heat sink effect from nearby blood vessels and can ablate larger tissue volumes without requiring grounding pad placement. 6 All of these features make MWA an attractive method for ablation procedures. To date, few articles have reported the successful outcomes of MWA for selective reduction in complicated MC pregnancies. 4 , 7 , 8 Recent randomized controlled trials by the T.Wu group in China demonstrated comparable survival rates between MWA and other methods, with MWA associated with lower preterm birth risk. 3 However, concerns remain regarding long-term neurodevelopmental outcome in surviving fetuses. Furthermore, standardized application methods and procedural details have yet to be established.
In this way, the present study aimed to share our experience of using MWA for selective fetal reduction in complicated MC pregnancies.
Patients and Methods
Patient Selection
This study was conducted between May 2021 and May 2022 at fetal-maternal centers affiliated with Shiraz University of Medical Science, focusing on referral of complicated MC pregnancies. All cases underwent fetal anomaly scans, and fetal echocardiography was performed by expert professionals. Evaluations included placental assessment, fetal growth, amniotic fluid volume, and cerebroplacental Doppler flow, such as umbilical artery (UA), ductus venosus DV), and Middle Cerebral Artery (MCA). Aneuploidy screening and amniocentesis were performed for high-risk cases.
Patients who met the inclusion criteria for selective fetal reduction received comprehensive counseling about procedure risks, including miscarriage, co-twin demise, preterm birth, premature rupture of membranes, and potential neurological injury to the co-twin. After discussing various methods of fetal reduction, MWA was suggested and implemented for consenting patients with complicated MC gestations who completed the informed consent process.
Inclusion Criteria
MC pregnancies at a gestational age of 17-24 weeks, determined either by in vitro fertilization (IVF) transfer date or reliable last menstrual period confirmed by crown–rump length (CRL) measurement on early ultrasound, 9 were included if they presented with any of the following complications: (1) obvious fetal structural abnormalities in one fetus identified during ultrasound examination; (2) twin reversed arterial perfusion (TRAP) sequence with acardiac twin; (3) stage II or III selective fetal growth restriction (sFGR) accompanied by severe features including early onset (present before 22 weeks of gestational age [GA]), estimated fetal weight discordance >35%, or reversed/absent end-diastolic flow (AREDF) in Ductus venosus pulsatility index (DV) PI; 10 or (4) stage IV twin-twin transfusion syndrome (TTTS) per Quintero staging 11 with fetal hydrops in the recipient fetus.
sFGR was defined as either estimated fetal weight below the 10th percentile in one fetus or intertwin weight discordance≥25%. The condition was classified into three stages based on umbilical artery end-diastolic velocity (UA-EDF): Type I (positive end-diastolic flow), Type II (persistent absent/reversed end-diastolic flow/AREDF), and Type III (intermittent/cyclical AREDF pattern). 2 , 10
Exclusion Criteria
Patients were excluded from the study if they: (1) refused MWA or were candidates for laser photo-coagulation, (2) did not meet the inclusion criteria, or (3) had a reliable gestational age below 17 weeks.
Ethical Considerations
This study was approved by the institutional Ethics Committee of Shiraz University of Medical Sciences (IR.SUMS.REC.1400.384) and conducted at hospitals affiliated with Shiraz University of Medical Sciences, Shiraz, Iran. All participants received counseling regarding potential procedure risks, including premature rupture of membranes, preterm birth, and possible adverse neurological outcomes for the surviving fetus. Following counseling about the alternative methods, written informed consent was obtained.
Method of Microwave Ablation
This minimally invasive procedure was performed using the Emprint SX Ablation Platform with Thermosphere Technology (Medtronic, Varta Nik Avand CO. Ltd.US). The energy was delivered through a 13-gauge cooled jacket antenna (Covidien, China), measuring 20 cm in length and 1.6 mm in diameter, with a 2.8 cm active trocar tip (figure 1). The surgery was conducted under local anesthesia to optimize the surgical environment and increase the patient’s tolerance. All patients received prophylactic antibiotics (a single dose of 2 g Keflin or 800 mg clindamycin [Aburaihan Pharmaceutical Co., Iran]) in the case of penicillin hypersensitivity prior to the procedure.
Figure 1. A 13-gauge cooled-shaft antenna (Covidien, China) was used to achieve cessation of blood circulation in the affected fetus.
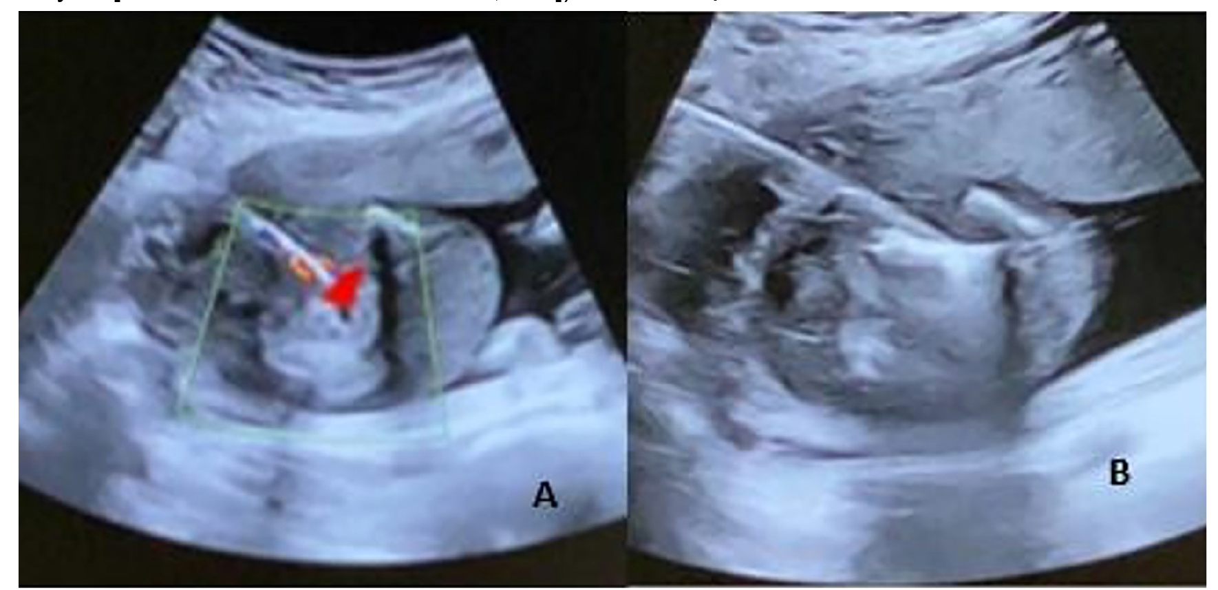
Under ultrasound guidance, the optimal puncture site was identified and a small skin incision made. The antenna was then inserted percutaneously into the affected fetus’s abdominal cavity, with the trocar advanced to the cord insertion site while avoiding placental penetration (figure 2a). MWA was performed at 100 W for 3 min per cycle (based on the manufacturer’s recommendation protocol) to create an approximately 15 mm radius ablation zone around the umbilical cord insertion.
Figure 2. A) The image demonstrates the percutaneous insertion of the antenna into the abdominal cavity of the affected fetus under ultrasound guidance. B) The echogenic zone represents coagulation necrosis following microwave ablation (MWA), visible as an ultrasound sign.
Fetal bradycardia occurred universally during initial ablation. Doppler ultrasound confirmed complete cessation of target fetal circulation; additional cycles were administered if necessary. The procedure’s completion was marked by visualization of an echogenic coagulation zone indicating necrosis (figure 2b). Finally, the fetal heart rate of the surviving fetus was checked, and in the case of polyhydramnios, amnioreduction was performed.
Post-op Care
After the procedure, all patients received indomethacin suppositories (Behsa Co., Iran) at a total dosage of 100 mg divided into q8h doses for 2 days, along with daily 400 mg vaginal progesterone (Actoverco group, Iran) for 1 week to reduce postoperative pain and procedure-related complications. Thromboprophylaxis was prescribed when indicated, based on the ACOG thromboprophylaxis scoring method. 12
All patients received close fetal and maternal monitoring after the procedure. Ultrasonography examinations were performed on both the procedure day and the following day, assessing the deepest vertical pocket (DVP) of amniotic fluid, the placenta status, and middle cerebral artery peak systolic velocimetry (MCA-PSV) of the surviving twin. Patients with no fetal-maternal complications were discharged home.
Patient Follow-up
All patients received counseling regarding potential risks of preterm birth and amniotic fluid leakage, with scheduled follow-up visits at 1 week post-procedure and then every 2 weeks. Each visit included detailed, comprehensive ultrasonography evaluating fetal biometry, DVP, and fetal Dopplers (especially MCA-PSV); and a detailed fetal neurosonographic examination performed by a specialist. All examination data were recorded using Astraia Software (GmbH, Germany). Additionally, all patients underwent fetal brain magnetic resonance imaging (MRI) 6-8 weeks after surgery to assess for potential MWA-related neurological damage in the surviving fetus.
Procedure-related complications, such as preterm premature rupture of membranes (PPROM), preterm birth (PTB), miscarriage, and intrauterine fetal deaths (IUFDs), were systematically documented.
Statistical Analysis
Quantitative data were reported as median (Q1-Q3) and qualitative data as numbers and percentages. The Mann-Whitney U Test was used to compare total ablation time and voltage between groups. All analyses were performed using SPSS version 21 (SPSS, Inc., Chicago, Illinois). P<0.05 was considered statistically significant.
Results
Among 52 referred MC pregnancies to our tertiary center, only 21 cases met the criteria. Nine cases with stage I-II TTTS and eight cases with stage I FGRs underwent expectant management. The remaining cases were categorized as stage III TTTS and stage II and III FGRs without severe features, who were qualified for placental laser photocoagulation. Finally, 21 participants (20 twins and one triplet) underwent MWA (figure 3).
Figure 3. The flowchart illustrates the participant recruitment process for the study.
The fetal-maternal demographic data and procedural details are presented in table 1. The median gestational age at the time of the procedure was 18 (18-19) weeks. The procedures were performed in 4 (19%) cases of sIUGR, 8 (38.1%) cases of fetal anomalies, 2 (9.5%) cases of TRAP, and 7 (33.3%) cases of TTTS. All procedures successfully ceased target fetal umbilical cord circulation (table 1). The median total ablation time was 4 (3-6) min, and the median total ablation voltage was 100 (100-200) W (table 1).
| Characteristics | Frequency | |
|---|---|---|
| Maternal age (year, median [Q1-Q3]) | 29 (24.5-30) | |
| BMI (Kg/m2, median [Q1-Q3]) | 26.6 (24.6-29.7) | |
| Mode of conception, n (%) | Ovulation induction | 3 (14.3%) |
| Spontaneous | 16 (76.2%) | |
| IVF | 2 (9.5%) | |
| Chronicity, n (%) | MCDA-twin | 20 (95.2%) |
| DCTA-triplet | 1 (4.8%) | |
| Indication for surgery, n (%) | IUGR | 4 (19%) |
| Anomaly | 8 (38.1%) | |
| TRAP | 2 (9.5%) | |
| TTTS | 7 (33.3%) | |
| Gestational age at Microwave ablation (week, median [Q1-Q3]) | 18 (18-19) | |
| Total ablation time (min, median [Q1-Q3]) | 4 (3-6) | |
| Total ablation voltage (W, median [Q1-Q3]) | 100 (100-200) | |
| BMI: Body mass index; MCDA: Monochorionic diamniotic; DCTA: Dichorionic triamniotic; GA: Gestational age; IVF: In vitro fertilization and embryo transfer; sIUGR: Selective intrauterine growth restriction; TRAP: twin reversed arterial perfusion; TTTS: Twin-to-twin transfusion syndrome | ||
The first five cases had a median procedure time of 12 (8-16) min, which was significantly longer than the other 16 cases, which took 4 (3-4) min (P=0.003). Although the median voltage in the first five cases, 200 (130-200) W, was higher than in the remaining 16 cases, 100 (100-175), the difference was not significant (P=0.053, table 2). The median duration of surgery was significantly and inversely associated with the surgery outcome. It suggested that the number of fetal deaths increased significantly with the time of operation (P=0.012, table 2).
| Variable | Total ablation voltage (W, median [Q1-Q3]) | P value | Total ablation time (min, median [Q1-Q3]) | P value * | |
|---|---|---|---|---|---|
| Experience | 5 first cases | 200 (130-200) | 0.053 | 12 (8-16) | 0.003 |
| Other | 100 (100-175) | 4 (3-4) | |||
| Outcome surgery | Alive | 100 (100-200) | 0.172 | 4 (3-4) | 0.012 |
| Dead | 180 (115-200) | 14 (6-16) | |||
| *Mann-Whitney U Test; P<0.05 was considered statistically significant. | |||||
Table 2 summarizes the characteristics of all 21 patients who were treated with MWA. Fetal loss following MWA occurred in 19% (4/21) of cases. IUFD occurred in two fetuses the day after the procedure, and two patients lost their pregnancies due to PPROM within 2 days after the surgery (table 3).
| Case | GA at time of procedure | Placenta | Pregnancy | Indication of MWA | Total ablation time, min | Total ablation voltage, W | Outcome surgery |
|---|---|---|---|---|---|---|---|
| 1 | 21+5 | Anterior high | MCDA | TRAP | 4 | 100 | Alive |
| 2 | 18+6 | Anterior high | MCDA | IUGR | 12 | 200 | Alive |
| 3 | 17+1 | Posterior high | MCDA | TTTS | 16 | 160 | IUFD |
| 4 | 18+2 | Anterior high | MCDA | IUGR | 12 | 200 | PROM |
| 5 | 18+4 | Posterior high | MCDA | TTTS | 16 | 200 | IUFD |
| 6 | 18+5 | Fundal | MCDA | TRAP | 7 | 200 | Alive |
| 7 | 18+6 | Anterior high | MCDA | Anomaly | 5 | 200 | Alive |
| 8 | 19+6 | Posterior high | DCTA | IUGR | 4 | 100 | Alive |
| 9 | 18+2 | Anterior high | MCDA | IUGR | 4 | 200 | Alive |
| 10 | 24 | Anterior high | MCDA | IUGR | 3 | 100 | Alive |
| 11 | 19+ | Anterior high | MCDA | Anomaly | 2 | 100 | Alive |
| 12 | 18+1 | Posterior high | MCDA | Anomaly | 3 | 100 | Alive |
| 13 | 17+4 | Posterior low | MCDA | Anomaly | 3 | 100 | Alive |
| 14 | 18+4 | Anterior high | MCDA | TTTS | 4 | 100 | Alive |
| 15 | 19+6 | Posterior high | MCDA | Anomaly | 4 | 200 | Alive |
| 16 | 18+2 | Posterior high | MCDA | Anomaly | 4 | 100 | PROM |
| 17 | 18+2 | Posterior high | MCDA | Anomaly | 4 | 100 | Alive |
| 18 | 18+4 | Posterior high | MCDA | TTTS | 3 | 100 | Alive |
| 19 | 18+1 | Posterior high | MCDA | TTTS | 4 | 100 | Alive |
| 20 | 17+ | Anterior high | MCDA | TTTS | 2 | 100 | Alive |
| 21 | 18+6 | Anterior high | MCDA | TTTS | 2 | 100 | Alive |
| MCDA: Monochromic diamniotic; DCTA: Dichorionic triamniotic; GA: Gestational age; IVF: In vitro fertilization; sIUGR: Selective intrauterine growth restriction; TRAP: Twin reversed arterial perfusion; TTTS: Twin-to-twin transfusion syndrome: MWA: Microwave ablation | |||||||
No maternal complications, such as sepsis, post-partum hemorrhage, and chorioamnionitis, occurred during the study. Neither neurosonography examination nor fetal brain MRI revealed any abnormalities in the surviving fetuses 6-8 weeks following the procedure in the surviving fetuses.
The overall procedure-to-delivery time was 16 (14.5-19.5) weeks, with an 81% (17/21) survival rate (table 3). The median gestational age at delivery was 34 (30.5-37.5) weeks. The rate of cesarean section was 70.6% (12 cases).
The preterm delivery before 32 weeks of gestation occurred in 11.8% (2/17), between 32-34 weeks of gestation in 29.4% (5/17), and after 34 weeks in 58.8% (table 4).
| GA delivery (weeks, median [Q1-Q3]) | 34 (30.5-37.5) | |
| GA delivery (weeks, n (%)) | <32 weeks | 2 (11.8%) |
| 32-34 weeks | 5 (29.4%) | |
| >34 weeks | 10 (58.8%) | |
| Procedure to delivery time (weeks, median [Q1-Q3]) | 16 (14.5-19.5) | |
| Delivery (n, %) | NVD | 5 (29.4%) |
| C/S | 12 (70.6%) | |
| Causes of cesarean section (n, %) | Fetal distress | 6 (50%) |
| Malpresentation | 4 (33.3%) | |
| PC/S | 2 (16.7%) | |
| MWA: Microwave ablation; GA: Gestational age; NVD: Normal vaginal delivery; C/S: Cesarean section; P C/S: Previous cesarean section | ||
In this case series, 12 out of 17 (70.6%) newborns were admitted to neonatal intensive care unit (NICU), and their median length of stay was 10 (7-11.75) days. Prematurity was the leading cause of NICU admission. However, all of them (100%) survived the neonatal period (table 5).
| Birth weight (g, median [Q1-Q3]) | 2680 (1725-2935) | |
| NICU admission (n, %) | Yes | 12 (70.6%) |
| No | 5 (29.4%) | |
| Cause NICU admission (n, %) | TTN | 1 (8.3%) |
| PTB | 7 (58.3%) | |
| Hyperbilirubinemia | 1 (8.3%) | |
| Sepsis | 2 (16.7%) | |
| UTI | 1 (8.3%) | |
| Length of stay in NICU (days, median [Q1-Q3]) | 10 (7-11.75) | |
| MWA: Microwave ablation; NICU: Neonatal intensive care unit; TTN: Transient tachypnea of the newborn; PTB: Preterm birth; UTI: Urinary tract infection | ||
Discussion
This study was about our first experience of MWA for complicated MC pregnancies. In our initial five cases, we applied the technique described by Prefumo and others, 5 using 50 W net power energy in 3-min cycles, with additional cycles administered if fetal circulation remained unblocked. Unfortunately, this approach resulted in PPROM and co-twin abortion within 2 days post-procedure in three of these five cases (60%), which seemed to be more related to our procedure techniques. Several potential contributing factors were identified, including procedure duration, number of ablation cycles, gestational age at intervention, trocar size, entry point selection, and cervical length. Based on these observations, it was hypothesized that achieving circulatory blockade through a single, brief ablation cycle might improve outcomes. This led us to modify our protocol after carefully rereviewing the literature and the microwave machine instructions.
As we know, the microwave makes an ellipsoid-like coagulation area around the active point of the needle. Consequently, to create a 15 mm ablation zone in the inradius around the intra-abdominal portion of the umbilical cord, MWA should be performed at 100-150 W for 3 min in one or two cycles based on the manufacturer’s recommendation. Consequently, we changed our method. Surprisingly, by changing our method, 15 out of 16 cases survived. This means that by modifying the procedure, the survival rate increased (from 40% to 93.8%).
Stephenson and the others used the same energy with 100-140 W net power at the applicator end for 3 min in their MWA of the TRAP Sequence method. 4 Our procedure was in agreement with their methods, regarding net power, voltage, and procedure duration.
In our study, the median time spent on MWA of the affected fetuses was significantly higher in the first five cases than in the rest of the cases. Among surviving co-twins, the median gestational age at delivery was 34 (30.5-37.5) weeks with a mean of 32±7.47 weeks and an overall survival rate of 81%.
In a recent study conducted in Iran by Rahimi and others on 143 complicated MC cases undergoing RFA, the overall survival rate in co-twins was 71.3%, and the mean GA at delivery was 34.6±3.3 weeks. 13
Another study by Meng and others on 45 complicated MC pregnancies who underwent MWA for selective fetal reduction found that the overall survival rate was 73.3%, with the median GA at delivery of 37.6 weeks. 7
The total ablation time in the present study was 5.61±4.4 min, which was shorter than the actual energy application time of 8.5±4.2, reported by Meng and others. 7
The present study showed an 11.8% rate of PTD before 32 weeks of gestation, compared to the 9% rate reported by Meng and others. 7 The overall procedure-to-delivery interval in our series was 16.70±2.86 weeks, which was longer than the 13.6 weeks reported by Meng and others. 7
In our series, none of the fetuses exhibited cerebral injuries 6-8 weeks post-procedure, with all demonstrating normal fetal brain structures on brain MRI. Unlike RF ablation cases where thermal injury to co-twins has been reported (due to direct needle contact), 14 this complication was less likely in MWA, as the cooling antenna of the microwave machine had no direct contact with the co-twin.
To date, several studies have reported the use of MWA in managing complicated MC pregnancies. 4 , 8 , 15 All of these studies consistently concluded that MWA represents the most straightforward method for intra-fetal vessel ablation. Its advantages, including controlled coagulation zone size with minimal adjacent tissue damage and rapid creation of a larger thermocoagulation zone, establish its superiority over RF or bipolar coagulation techniques. 6 , 16 As a relatively novel technique still in its early stages of clinical application, comprehensive reporting and discussion of procedural details remain essential. The present study provided a detailed method of applying MWA in the selective reduction of complicated MC pregnancies, aiming to establish optimal implementation practices.
However, the present study had several limitations. The main limitation was the small sample size; larger cohorts would yield more precise results. Long-term neuroimaging and neurological outcomes of surviving fetuses are the main issues in all prenatal fetal interventions. Although this study included thorough data collection and analysis, the absence of a control group might affect the generalizability of the findings. Future research should prioritize randomized controlled trials with larger samples, focusing on both the method of application and long-term neonatal outcomes to fully elucidate this method’s potential challenges.
Conclusion
MWA represents a potentially effective, safer, and faster alternative for selective fetal reduction in complicated MC twin pregnancies. However, as a newly introduced technique, it is still in its early stages of implementation. Thus, there is a need for reporting and discussing the specific details of its application and implementation.
Acknowledgement
The authors would like to thank Shiraz University of Medical Sciences (Shiraz, Iran) and the Center for Development of Clinical Research at Nemazee Hospital for their support.
Authors’ Contribution
H.V: Conceptualization, design, and critical reviwing; Sh.R: Conceptualization, design, and critical reviwing; A.Sh: Study design, drafting, and critical reviwing; N.A: Study design, drafting, and critical reviwing; NS.A: Data analysis and critical reviwing; M.K: Study design, drafting, and critical reviwing; Sh.Q: Study design, drafting, and critical reviwing; Kh.B: Data analysis and critical reviwing; M.Gh: Study design, drafting, and critical reviwing; A.F: Study design, drafting, and critical reviwing; All authors have read and approved the final manuscript and agree to be accountable for all aspects of the work in ensuring that questions related to the accuracy or integrity of any part of the work are appropriately investigated and resolved.
Conflict of Interest
Naeimehossadat Asmarian, serving as an Editorial Board Member of the Journal, played no role in the handling of this manuscript at any stage. To ensure impartiality, the Editorial Board convened a team of independent experts to review the manuscript without her involvement or awareness.
References
- Li N, Sun J, Wang J, Jian W, Lu J, Miao Y, et al. Selective termination of the fetus in multiple pregnancies using ultrasound-guided radiofrequency ablation. BMC Pregnancy Childbirth. 2021; 21:821. Publisher Full Text | DOI | PubMed [ PMC Free Article ]
- Khalil A, Rodgers M, Baschat A, Bhide A, Gratacos E, Hecher K, et al. ISUOG Practice Guidelines: role of ultrasound in twin pregnancy. Ultrasound Obstet Gynecol. 2016; 47:247-63. DOI | PubMed
- Wu T, Gong X, Wang X, Li L, Chen Z, Yuan P, et al. Perinatal and neurodevelopmental outcome in complicated monochorionic pregnancy after selective fetal reduction: radiofrequency ablation vs microwave ablation. Ultrasound Obstet Gynecol. 2022; 60:506-13. DOI | PubMed
- Stephenson CD, Temming LA, Pollack R, Iannitti DA. Microwave Ablation for Twin-Reversed Arterial Perfusion Sequence: A Novel Application of Technology. Fetal Diagn Ther. 2015; 38:35-40. DOI | PubMed
- Prefumo F, Cabassa P, Fichera A, Frusca T. Preliminary experience with microwave ablation for selective feticide in monochorionic twin pregnancies. Ultrasound Obstet Gynecol. 2013; 41:470-1. DOI | PubMed
- Simon CJ, Dupuy DE, Mayo-Smith WW. Microwave ablation: principles and applications. Radiographics. 2005; 25:S69-83. DOI | PubMed
- Meng X, Yuan P, Gong L, Wang X, Wu T, Wei Y, et al. Forty-five consecutive cases of complicated monochorionic multiple pregnancy treated with microwave ablation: A single-center experience. Prenat Diagn. 2019; 39:293-8. DOI | PubMed
- Xie J, Cheng Z, Wu T, Wei Y, Wang X. Microwave ablation versus radiofrequency ablation for the treatment of severe complicated monochorionic pregnancies in China:protocol for a pilot randomised controlled trial. BMJ Open. 2020; 10:e034995. Publisher Full Text | DOI | PubMed [ PMC Free Article ]
- Salomon LJ, Alfirevic Z, Da Silva Costa F, Deter RL, Figueras F, Ghi T, et al. ISUOG Practice Guidelines: ultrasound assessment of fetal biometry and growth. Ultrasound Obstet Gynecol. 2019; 53:715-23. DOI | PubMed
- Parra-Cordero M, Bennasar M, Martinez JM, Eixarch E, Torres X, Gratacos E. Cord Occlusion in Monochorionic Twins with Early Selective Intrauterine Growth Restriction and Abnormal Umbilical Artery Doppler: A Consecutive Series of 90 Cases. Fetal Diagn Ther. 2016; 39:186-91. DOI | PubMed
- Quintero RA, Morales WJ, Allen MH, Bornick PW, Johnson PK, Kruger M. Staging of twin-twin transfusion syndrome. J Perinatol. 1999; 19:550-5. DOI | PubMed
- American College of O, Gynecologists’ Committee on Practice B-O. ACOG Practice Bulletin No. 196: Thromboembolism in Pregnancy. Obstet Gynecol. 2018; 132:e1-e17. DOI | PubMed
- Rahimi-Sharbaf F, Ghaemi M, Nassr AA, Shamshirsaz AA, Shirazi M. Radiofrequency ablation for selective fetal reduction in complicated Monochorionic twins; comparing the outcomes according to the indications. BMC Pregnancy Childbirth. 2021; 21:189. Publisher Full Text | DOI | PubMed [ PMC Free Article ]
- Kumar S, Paramasivam G, Zhang E, Jones B, Noori M, Prior T, et al. Perinatal- and procedure-related outcomes following radiofrequency ablation in monochorionic pregnancy. Am J Obstet Gynecol. 2014; 210:454. DOI | PubMed
- Prefumo F, Cabassa P, Fichera A, Frusca T. Microwave Ablation in Complicated Monochorionic Twin Pregnancies. Fetal Diagn Ther. 2015; 38:159. DOI | PubMed
- Fan W, Li X, Zhang L, Jiang H, Zhang J. Comparison of microwave ablation and multipolar radiofrequency ablation in vivo using two internally cooled probes. AJR Am J Roentgenol. 2012; 198:W46-50. DOI | PubMed